

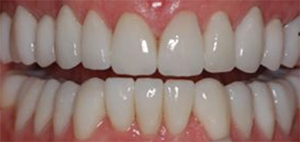
Before After
All twenty-four teeth were prepared pain-free in one visit.
What is your “dream smile”? For some, it’s Hollywood perfection. For others, it’s simply enhanced confidence gained from brighter, whiter, straighter teeth. Whatever your ideal smile, Cosmetic Dentistry of WNY can help you achieve the smile you’ve always dreamed of in as little as two visits!
See our photo gallery!
We’ve helped many people achieve their individual dream smile by fixing:
- Smile Makeover
-
Space Closure
- Gap Closure
- Chipped Front Tooth
- Dark Stained Teeth
- Bridges (Missing teeth replacement)
- Instant Orthodontics
- Large Cavities in Front Teeth
- Prepless Veneers
- Crooked Teeth
- Life Like Cosmetic Denture
A trial smile is just ten days away, and a final smile, within three to four weeks. Dr. Herman and team can dramatically change your smile. They will encourage you to bring in photos of smiles that you like, and they will assist you in making cosmetic decisions. Regardless of the number of teeth being changed, all will be done in the same visit. Below describes the process:
- Using a digital camera, your current smile can be displayed on a 42” Plasma Screen TV within minutes.
-
Photos of patients whose smiles and-lives have been transformed will be referenced.
-
Cosmetic options include bonding, porcelain veneers, crowns, and whitening. All undetectable, they blend in with your natural smile.
- Silver or mercury fillings will be replaced with white fillings or with porcelain.
- The final restorations will be fabricated by the best ceramic lab, which has done famous movie stars’ smiles using the ultimate aesthetic porcelain “authentic” or “empress”.
- Far more comfortably than you have ever imagined. You will receive VIP Service.
- Creative payment plans are available, as well as financing to fit your budget.
Picture yourself with an absolutely gorgeous smile! It can change far more than just the way you look. It can often change the way you look at life.